
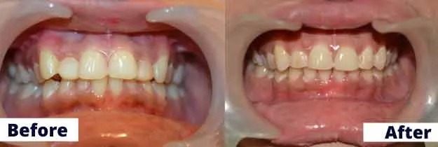
We all have heard about braces. They play a very important role in the correction of your teeth. Teeth correction may be required for both aesthetic and functional reasons. Aesthetic reasons include crooked teeth, forwardly placed teeth, gummy smiles, crowding of teeth, etc. Functional reasons include gum issues, bite issues, muscular issues, etc. Teeth play an important role in maintaining the balance between the orofacial complex, which includes the joints and muscles.
A discrepancy in them can lead to functional issues that manifest as constant headaches, bite problems, tooth sensitivity, gum problems, cracking of teeth, etc. Usually, functional issues arise later in life as corrections were not done earlier. This is one of the common reasons for adults opting for invisible braces, as they do not want any obstruction to their social life. However, conscious teenagers are also increasingly showing a preference for invisible braces.





As the name suggests, they are made mostly of ceramic porcelain or tooth-colored materials. There are basically two types:
Regular - Here, the metal brackets are replaced by ceramic brackets, and the wire remains the same stainless steel. Rubber bands are used so that, instead of having the metallic look of metal braces, only a thin wire is visible on the tooth surface.
Self-Ligating - These ceramic invisible braces use doors or clips to hold the wire rather than rubber bands. They are mainly used for patients who are more sensitive to discomfort and cannot sit still in the dental chair for a long time.

These types of invisible braces are actually invisible as they are not seen on the front surface of the teeth. The braces are positioned on the back surfaces of the teeth. This makes them unique as it requires a special skill set in an orthodontist to understand the mechanics of tooth movement from behind. The braces used in these cases are also very unique. At Clinic Eximus, our team has qualified orthodontists who specialize in lingual invisible braces. Lingual braces are highly recommended for people who have an active social presence and cannot afford to be seen with braces. Although there is initial discomfort with speech, the tongue adapts very quickly to the change.

Clear aligners are another type of invisible braces. They use acrylic/plastic trays to align your teeth, so no brackets, no wires, and no rubber bands. They definitely have a lot of advantages: Clear and transparent: No one will know you are wearing them. Removable: You can remove them when you eat or drink something hot. Easy to maintain oral hygiene: You can remove them to brush and floss your teeth. Faster than braces in some cases. Shorter appointment times. Increased acceptance.

Most of you have heard about Invisalign. In fact, many celebrities endorse it too. Invisalign is an international brand that started the concept of invisible braces. It is a US-based brand, and the lab is based there where all the aligners are fabricated. There are various advantages of Invisalign over regular aligners:
They use 3D scan technology to make impressions of your teeth and gums, making the planning even for small movements more accurate.
Once the scan is sent to the central lab in the US, a simulation with multiple treatment options is made available to the patient.
You can see how the movements will happen in your teeth to achieve the final results and provide inputs for your personalized requirements at any point.
It is able to treat very complex cases that sometimes cannot be treated by other aligners.
At Clinic Eximus, we have orthodontists who specialize in Invisalign, and we are proud to have treated multiple cases with invisible braces.
Advantages of Invisible Braces are:
Space discrepancy: If teeth are larger in size than the space available in the jaw, it leads to a crowded arrangement of teeth. Sometimes, the size of teeth is smaller than the available space in the jaw, which leads to open spaces between the teeth.
Genetics play a very important role in determining the arrangement of teeth. The size of the teeth and the size of the jaw are factors inherited from the parents. Sometimes, a child inherits teeth from the paternal side and jaw from the mother’s side or vice versa, leading to space discrepancy and crooked teeth.
Habits such as thumb sucking or mouth breathing also lead to malpositioning of teeth.
A) Correction is necessary not just for aesthetics or appearance, but the main reason is to provide functional stability and prevent future problems.
Gum Problems: With crooked teeth, the main problem arises while cleaning the area in between the teeth. Even our toothbrush fails to reach and clean this area between teeth, leading to food accumulation, which is the root cause of all gum problems. Weakening of gums eventually leads to teeth mobility and teeth loss.
Joint & Muscle Problems: Sometimes, teeth are so malpositioned that they do not properly meet each other, leading to strained muscles and TM Joint (clicking sound while mouth opening or restricted mouth opening). Continuous stress leads to weakened joints and muscle fatigue, which starts showing serious manifestations as age advances.
Crooked teeth can also cause difficulty in speech and pronunciation of some letters.
Sometimes, orthodontic treatment with braces is carried out in adults to address certain misalignments that cause muscular, joint, or gum problems. They also have the option of choosing between metal or ceramic braces.
© 2023 All Rights Reserved - Website Managed by Clinic Eximus